A smiling woman wearing a pink sports bra, standing on a sandy beach with clear skies above.

Smile Gallery

A smiling woman wearing a pink sports bra, standing on a sandy beach with clear skies above.
The image shows a person with a broad smile revealing multiple teeth with visible yellow staining.

Before

The image shows a close-up of a person s smile with straight white teeth.

After

The image shows a close-up view of an open mouth with a set of yellowed teeth, some of which have been replaced with dental implants.

Before

The image shows a close-up view of a person s teeth with visible staining and discoloration, suggesting poor oral hygiene.

After

The image shows a close-up of a person s face with a wide smile revealing teeth, with a focus on a large gap between the front teeth.

Before

The image shows a close-up view of a person s smiling mouth with white teeth, displaying a wide smile, against a neutral background.

After

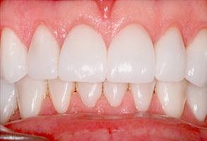
The image shows a close-up view of a person s teeth with visible gumline, set against a neutral background.

Before

The image shows a close-up view of a person s teeth with a focus on a dental implant, highlighting its placement among natural teeth within a mouth.

After

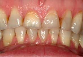
The image shows a close-up view of a person s teeth with visible yellowing and staining, indicating possible dental issues such as discoloration or decay.

Before

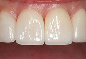
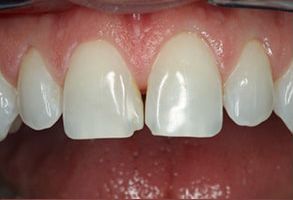
The image displays a close-up view of a person s teeth with a focus on the upper front teeth, which appear to be straight and well-maintained, against a background that seems to be a medical setting due to the presence of a sterile environment and a piece of dental equipment.

After

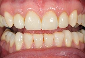
The image shows a close-up view of a person s teeth with visible signs of decay and discoloration, including yellowing and staining, particularly on the front teeth.

Before

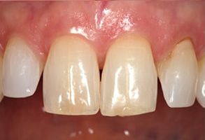
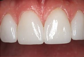
The image shows a close-up view of a person s teeth with a focus on dental hygiene, specifically highlighting a set of white teeth.

After

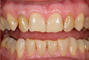
The image shows a close-up view of a person s mouth with a large set of teeth, some of which have fillings and discoloration, against a blurred background that suggests it might be a medical or dental setting.

Before

The image shows a close-up view of a person s teeth with a focus on a cosmetic dental treatment, likely braces or aligners, used for orthodontic purposes.

After

Contact Us

Schedule your appointment online or give us a call to get started today.

Dental Works of Malverne 322 Hempstead Avenue, Malverne, NY 11565